Smile Gallery

Every smile tells a story — one of confidence, care, and transformation. Our smile gallery showcases real patients who trusted All Smiles Dentistry to bring out their best smiles. From subtle refinements to complete smile makeovers, each photo reflects the precision, artistry, and dedication that define our approach to dentistry. Take a look through these stunning results and picture how your own smile could shine even brighter.

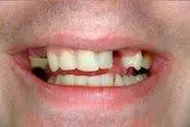
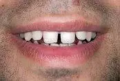
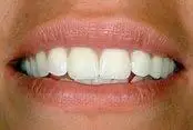
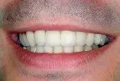
Case 1

BeforeBefore
AfterAfter

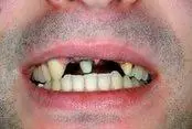
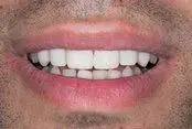
Case 2

BeforeBefore
AfterAfter

Case 3

BeforeBefore
AfterAfter

Case 4

BeforeBefore
AfterAfter

Case 5

BeforeBefore
AfterAfter

Schedule a Consultation

Ready to love your smile again? Schedule your one-on-one consultation with Dr. Maduro and the team at All Smiles Dentistry. We’ll take time to understand your dental history, discuss your goals, and walk you through treatment options in a relaxed and supportive setting. Whether you’re exploring cosmetic improvements or need restorative care, our approach is focused on education, comfort, and transparency. Patients throughout Morristown and Morris County choose us for guidance they can trust and results that make a lasting difference.

Patient Reviews

Every smile tells a story, and at All Smiles Dentistry, we’re honored to be a part of so many positive ones. Our patients often share how our gentle care, friendly atmosphere, and attention to detail made a real difference in their experience. From first visits to advanced treatments, these stories highlight the compassion and commitment that set our practice apart. Discover why individuals and families throughout Morristown trust us with their dental care.

More Reviews